![]() |
|
|||||||||||||||||||||
|
Upala crvuljka “slijepog crijeva“ i mogućnosti dijagnostike ultrazvukom Vinka Barbarić Babić, dr.med, spec. radiologije
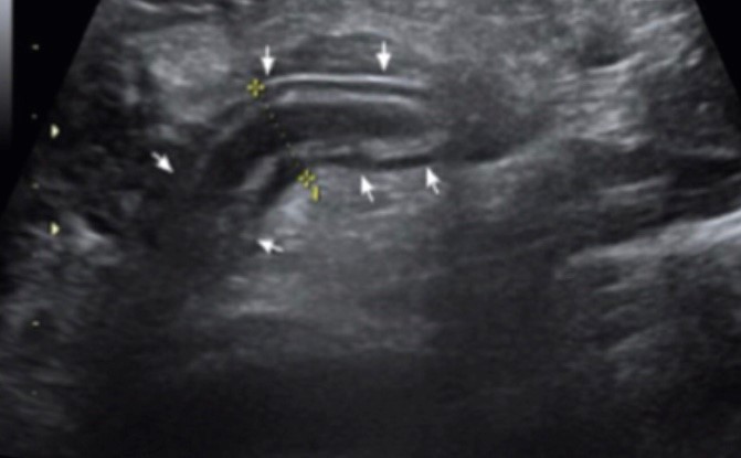
Upala crvuljka, latinskog naziva apendicitis, je relativno česta akutna upala, koja, ako se ne prepozna na vrijeme i ne liječi može imati smrtni ishod. Crvuljak se nalazi u desnom donjem dijelu trbuha, već prema zdjelici i u prosjeku je duljine 7cm, promjera 0,6cm. Kada dođe do upale, u cjelosti se poveća i postaje bolan na pritisak trbuha u njegovoj razini. Najčešći simptom je bol, desno prema zdjelici i oko pupka, pa čak i u žličici. Dolazi i do povraćanja, a često se javlja i povišena temperatura. Kod djece može biti osjetljiv cijeli trbuh, a često slično se ponaša upala limfnih čvorova u trbuhu. Kod žena teško se razluči od upala jajnika, zdjelice, pa čak i ovulacije. Zato je ponekad nužan pregled iskusnog ginekologa. Ako navedene tegobe ne prestaju kroz nekoliko sati, a čak se i pogoršavaju, mora se obratiti liječniku, koji će nakon pregleda i laboratorijskih nalaza posumnjati da se radi o upali crvuljka, a što se sa velikom sigurnošću može potvrditi ultrazvučnim pregledom. Za postavljanje ispravne dijagnoze nužan je kvalitetan ultrazvučni uređaj, te liječnik sa iskustvom u ovom području. Pregleda se ultrazvukom cijeli trbuh, a potom se usredotoči na desni donji dio trbuha i zdjelice, te se aktivno traži duguljasta struktura slijepog završetka promjera većeg od 0,6 cm, koja se ne može stisnuti, tj. pritiskom joj se ne može smanjiti promjer, a dobro je prokrvljena, te odgovara upaljenom crvuljku. Nakon potvrde na upalu bolesnik se upućuje hitno kirurgu. Važno je upalu crvuljka prepoznati na vrijeme jer odgađanjem dolazi do puknuća-perforacije i razlijevanja po trbušnoj šupljini što može dovesti do ozbiljnih upala potrbušnice. (Ultrazvučna slika upaljenog crvuljka)
|
| Poliklinika Gemini Plus ginekologija i opstetricija, klinička radiologija - uzv dijagnostika |
Ivane Brlić Mažuranić 33, ZAGREB, Tel. +385 1 3735-642 Radno vrijeme: pon-čet: 8-21, pet. 8-13, te prema dogovoru |